Alex Wong DMD and Vanessa Lee DMD

Vancouver, BC, Dentists

“10/10 would recommend.” 

— Nicholas, 5-Star Review

  • Heart

    Personalized Care

  • Calendar

    Flexible Appointments

  • Reviews

    200+ 5-Star Reviews

  • Reviews

    Dedicated Experts

New Location Coming Mid-2026!

The Next Generation of Norris Dental in Vancouver, BC

Norris Dental is entering an exciting new chapter. Under new ownership, our team is building a brand-new clinic just a few blocks from our current location, opening in mid-2026. The space will feature modern technology and fully digital workflows designed to support the most precise, comfortable, and efficient dentistry available in Vancouver. We look forward to welcoming you into a fresh environment created to elevate your care!

Mountains

What Sets Norris Dental Apart?

Norris Dental is a modern, tech-forward practice led by Drs. Alex Wong and Vanessa Lee, who carry on the legacy of dental excellence started by Dr. Mark Norris. We pride ourselves on providing comprehensive, personalized service supported by digital dentistry so you can receive all the care you need at Vancouver practice. 

KOIS

Certified Dentists

Circle

Why KOIS-Certified Care Matters for Your Dental Implants

Dental implant success depends on far more than placing a post in the jaw. KOIS certification represents one of the highest levels of continuing education in dentistry, requiring advanced, structured training in diagnosis, implant planning, and precision placement. Our KOIS-trained dentists use an evidence-based approach that emphasizes safety, predictability, and stable long-term outcomes. Their methods are grounded in proven clinical protocols that help ensure our patients’ implants are positioned for lasting function, comfort, and confidence.

Most Insurance Accepted!

Don't let money hold you back from restoring the health of your teeth and gums. Our Vancouver, BC, dental office accepts most insurances, including Canadian Dental Care Plan (CDCP), and our friendly staff will help you to maximize those benefits. 

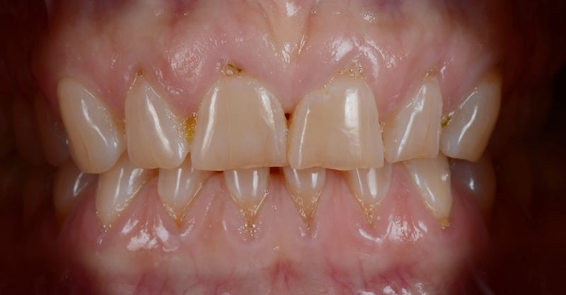
Norris Dental Patient Before Treatments
Before
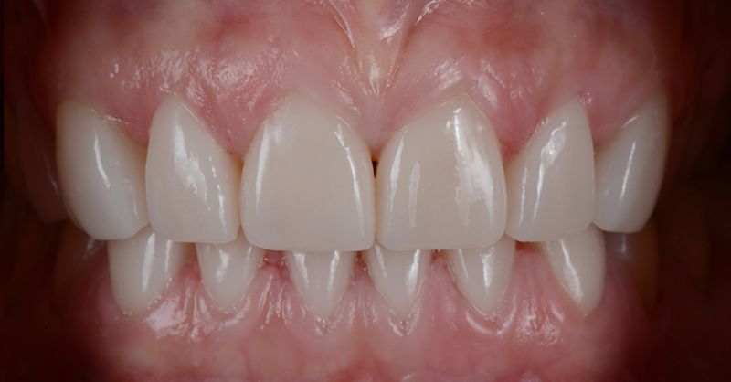
Norris Dental Patient After treatments
After

Dental Implants Case

Contact Norris Dental

Drs. Alex Wong and Vanessa Lee are compassionate dentists dedicated to providing you and your family with comfortable, customized, and comprehensive oral health care. This is achieved using the most up-to-date techniques and tools in the field of dentistry.

Our modern tools include:

  • Cone-beam CT scanners
  • Computerized surgical guides
  • Fully digital workflows
  • In-office 3D printing

Norris Dental is your source for general, restorative, and cosmetic dentistry in Vancouver. Why? Because we perform everything from routine exams to implant surgery under one roof with one goal in mind: giving you the healthiest, most confident smile possible. Set up a consultation today at our Vancouver, BC, practice using our online form or by giving us a call.

A 5-Star Review From a Happy, Smiling Patient

“The Dentist is fast and does awesome work on your teeth and highly recommend for new patients.” 
— Bernard, 5-Star Review

Our Prestigious Affiliations

Canadian Dental Association
British Columbia Dental Association
American Academy of Implant Dentistry
cdsbc
ubc
Man smiling in a hand mirror at the dentist
We take good care of you

Imagine Loving Your Smile

Contact Norris Dental in Vancouver, BC

At Norris Dental, our patients are our number-one priority. Our dentists take the time to get to know each patient and their needs so they can provide quality dentistry in a relaxing and comfortable atmosphere. For our patients who struggle with dental anxiety, our Vancouver practice offers sedation dentistry that makes even the most anxious patients feel relaxed under our care.

Our dentists can put together a custom cosmetic or general dentistry treatment plan that includes sedation to meet your aesthetic goals and health needs. Our mission is to give all our patients a healthy smile they can be proud to show off.

Take charge of your dental health. Request your appointment at our Vancouver, BC, office today.

From Dull to Dazzling: A Dramatic Smile Transformation

Norris Dental Patient Before Treatments
Before This patient had worn, yellowed teeth.
Norris Dental Patient After treatments
After We made this smile look healthy and bright.

Cosmetic dentistry treatments can turn a compromised smile into a work of art.

Comprehensive Procedures 

Hear From Another Satisfied Patient

“Wonderful staff and team  Thank you Dr Wong! Great results!” — Simon, 5-Star Review

Align Your Teeth Discreetly

Invisalign Creates Confident Smiles

Since Invisalign is virtually invisible when worn throughout treatment, it is the preferred straightening method for most patients. In about one year, depending on the severity of your misalignment issues, Invisalign can straighten your smile and improve the function of your bite. Contact our Vancouver, BC, office today to learn more about how Invisalign can transform your smile.

"Success is when patients feel heard, their goals are clear, and we're aligned from the start." 
— Dr. Wong

Crooked smile before Invisalign
Misaligned teeth can affect your confidence and the health and function of your smile.
Straight teeth after Invisalign
Invisalign clear aligners can straighten your teeth and create a healthy, gorgeous smile you can be proud of.

Frequently Asked Questions For Our Dentists in Vancouver, BC

I'm anxious about pain and dentists. Can you help me?

Yes. To make your treatments stress-free, our practice offers sedation options to keep you as calm, relaxed, and comfortable as possible.

How do I prevent cavities?

Cavities are typically the result of poor oral hygiene habits. Brushing twice daily, flossing once daily, and coming to our Vancouver practice for routine cleanings is the best way to prevent cavities and maintain your oral health.

Do you offer traditional metal braces?

We believe that plastic Invisalign clear aligners offer a more visually appealing and more comfortable teeth alignment option than traditional fixed orthodontics, which contain bulky metal parts. 

Can I bring my kids to Norris Dental?

Absolutely. With our broad scope of services, we can provide quality oral care to every member of your family. 

“Great dentist, been going all my life. Thank you for being wonderful.” — EnVec0, 5-Star Review

Vancouver

The experienced dentists at Norris Dental in Vancouver, BC, provide comprehensive care in one convenient, state-of-the-art location. From dental implants to cosmetic dentistry, Norris Dental is equipped to meet your needs and exceed your expectations. Our prestigious affiliations include:

  • Canadian Dental Association
  • American Academy of Implant Dentistry
  • College of Dental Surgeons of British Columbia

To schedule an appointment, contact our Vancouver office using our online form or by calling (604) 263-1855.

Contact Us Today

Contact Us

Fields With Are Required
You can also call us at (604) 263-1855. This site is protected by reCAPTCHA and the Google Privacy Policy and Terms of Service apply.

Rate, Review & Explore

Social Accounts Sprite